マウスピース矯正|登戸・向ヶ丘遊園の歯科・歯医者|ポライト歯科クロス向ヶ丘|土日診療

〒214-0014神奈川県川崎市多摩区登戸2779−1 クロス向ヶ丘 2階
044-712-0171
ヘッダー画像

マウスピース矯正

マウスピース矯正|登戸・向ヶ丘遊園の歯科・歯医者|ポライト歯科クロス向ヶ丘|土日診療

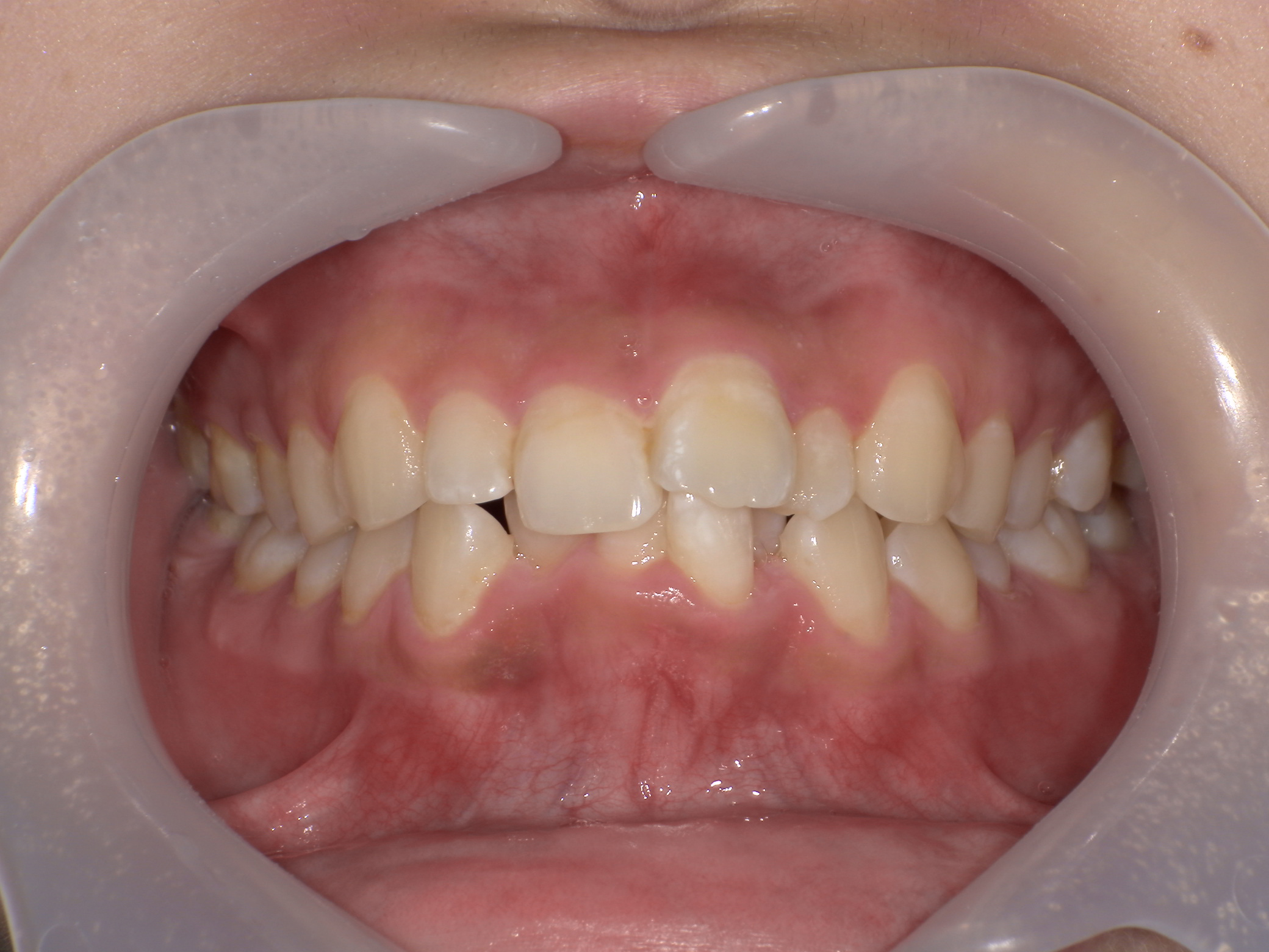
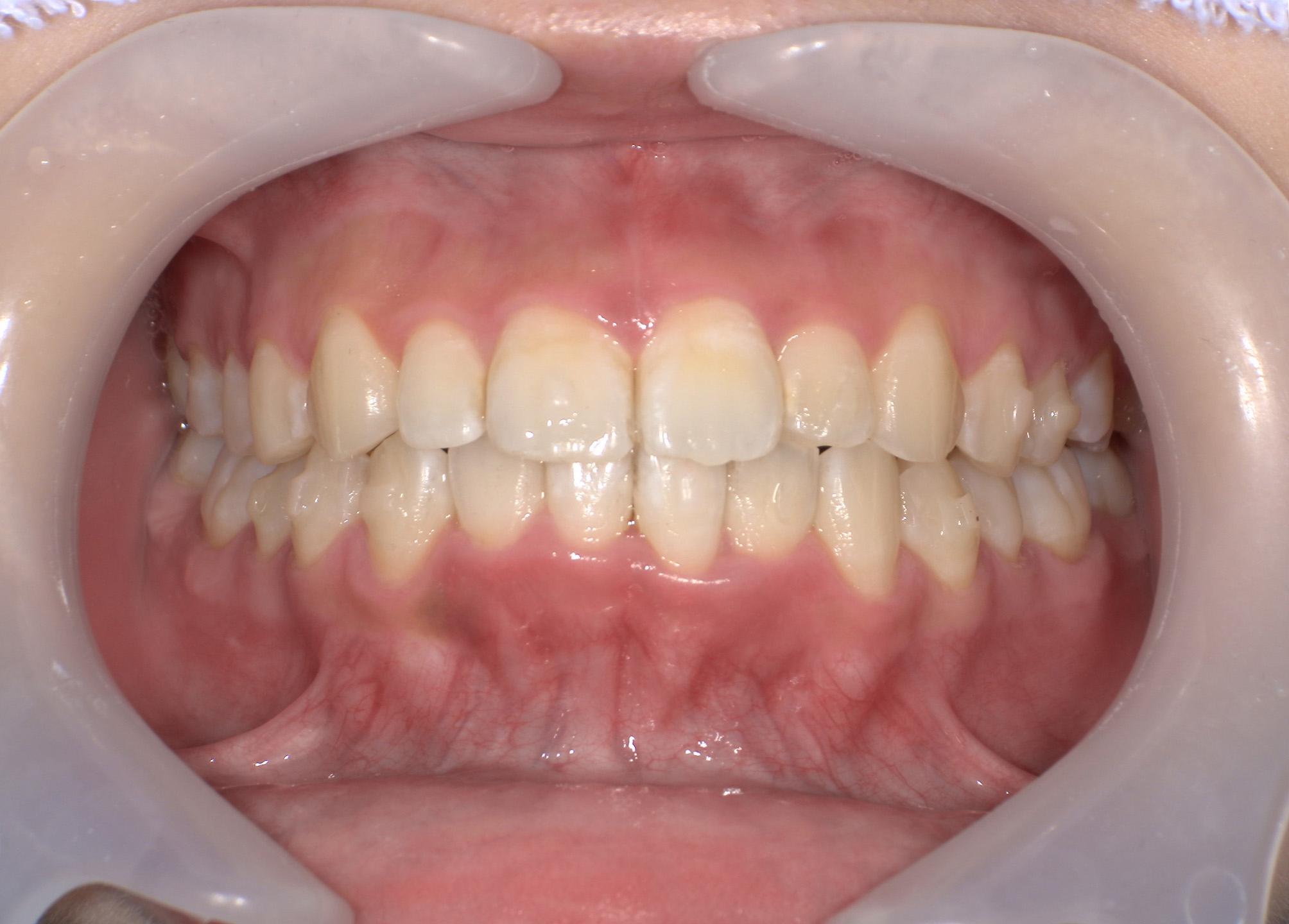
【症例No.1】マウスピース矯正/10代女性

Before

After

サムネイルをクリックタップすると
大きく表示されます。

主訴
歯並びを整えたい
治療内容
マウスピース矯正・アライナー矯正
治療期間・回数
1年
費用
550,000円(税込)
リスク・副作用
マウスピース矯正が適応でない方もいらっしゃいます。矯正の最中は虫歯のリスクが上がります。場合によっては歯根が短くなる場合や歯茎が下がる場合があります。
マウスピース矯正は患者様の協力が何よりも必要です。今回のケースはとても頑張っていただいたため理想的に動いております。

マウスピース矯正について

マウスピース矯正のメリット

  • 取り外し可能で衛生的
  • 目立ちにくく日常生活への影響が少ない
  • 痛みや違和感が比較的少ない

注意点

決められた時間装着しないと効果が出にくくなります。対応可能な症例に限りがあります。