インレー修復|登戸・向ヶ丘遊園の歯科・歯医者|ポライト歯科クロス向ヶ丘|土日診療

〒214-0014神奈川県川崎市多摩区登戸2779−1 クロス向ヶ丘 2階
044-712-0171
ヘッダー画像

インレー修復

インレー修復|登戸・向ヶ丘遊園の歯科・歯医者|ポライト歯科クロス向ヶ丘|土日診療

【症例No.1】左上奥歯インレー修復/50代女性

Before

After

サムネイルをクリックタップすると
大きく表示されます。

主訴
銀歯を白くしたい
治療内容
セラミックインレー
治療期間・回数
2回(約1週間)
費用
1本あたり54,900円(税込)
リスク・副作用
古い詰め物を除去するため神経の近く組織を触っているため、まれに知覚過敏が出ることや、噛み合わせが強い方の場合詰め物が外れるまたは欠けるリスクがあります。
古い詰め物を除去を行いセラミック(emax)にて修復を行いました。

【症例No.2】左上奥歯インレー修復/40代女性

Before

After

サムネイルをクリックタップすると
大きく表示されます。

主訴
銀歯を白くしたい
治療内容
セラミックインレー、セラミッククラウン
治療期間・回数
2回(約1週間)
費用
1本あたり各54,900円(税込),99,000円(税込)
リスク・副作用
古い詰め物を除去する際、神経の近く組織を触っているため、まれに知覚過敏が出ることや、噛み合わせが強い方の場合詰め物が外れるまたは欠けるリスクがあります。
古い詰め物を除去を行いセラミック(emax)にて修復を行いました。噛む力が強い方の場合は少し透明感は落ちてしまいますがジルコニアという素材を使うことにより強度を担保できます。

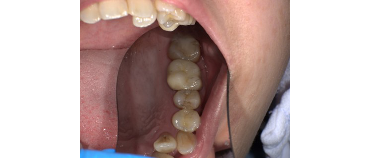
【症例No.3】左下奥歯 セラミックインレー修復/30代女性

Before

After

サムネイルをクリックタップすると
大きく表示されます。

主訴
銀歯が目立つのが気になる、自然な色でやり直したい
治療内容
セラミックインレー(e.max使用)
治療期間・回数
2回(約1週間)
費用
54,900円(税込)
リスク・副作用
治療では古い詰め物を除去するため、神経に近い箇所を触れる場合があります。そのため、一時的な知覚過敏や、噛み合わせの強さにより欠けたり脱離するリスクがあります。
セラミックインレーは自然な色味とフィット感に優れ、隣の歯との調和も抜群です。治療後は見た目の違和感がなく、機能面でも問題なく使用いただけています。

【症例No.4】右上奥歯 セラミックインレー修復/30代女性

Before

After

サムネイルをクリックタップすると
大きく表示されます。

主訴
笑った時に見えるのが気になる、自然な色でやり直したい
治療内容
セラミックインレー(e.max使用)
治療期間・回数
2回(約1週間)
費用
54,900円(税込)
リスク・副作用
治療では古い詰め物を除去するため、神経に近い箇所を触れる場合があります。そのため、一時的な知覚過敏や、噛み合わせの強さにより欠けたり脱離するリスクがあります。
今回の部位は力が極端にかかる部位ではないため色調の良いガラスの詰め物で製作をしています。透明感がありご自身の歯の色を拾うためとても自然な色合いになるのが特徴です。

インレー修復について

インレー修復のメリット

  • 銀歯を自然な色調に改善できる
  • 金属アレルギーの心配がない
  • 精度の高い適合でむし歯の再発リスクを軽減

注意点

強い力が加わる部位や噛み癖のある方は、破損や脱離の可能性があります。