インプラントのメリット
- 天然歯に近い噛み心地
- 周囲の歯への負担が少ない
- 見た目が自然で違和感が少ない
インプラントの注意点
インプラント治療は外科的な手術が必要であり、治療期間も数ヶ月かかることがあります。
また、インプラントを長く良い状態で保つためには、毎日の丁寧な歯磨きと定期的なメンテナンスが重要です。
歯周病のようにインプラント周囲炎を起こすこともあるため、治療後も歯科医院での定期的なチェックを受けることが大切です。
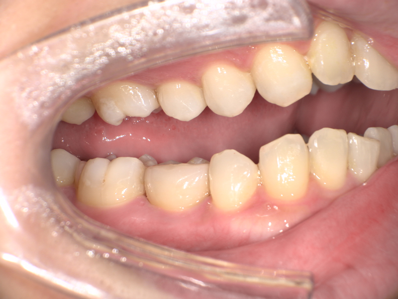
インプラント
インプラント治療は外科的な手術が必要であり、治療期間も数ヶ月かかることがあります。
また、インプラントを長く良い状態で保つためには、毎日の丁寧な歯磨きと定期的なメンテナンスが重要です。
歯周病のようにインプラント周囲炎を起こすこともあるため、治療後も歯科医院での定期的なチェックを受けることが大切です。