セラミック矯正
セラミック矯正

セラミック矯正とは、歯並びを整えると同時に、歯の色や形も美しく改善できる治療法です。
歯を削ってセラミックの被せ物を装着することで、短期間で理想的な見た目を実現します。
このようなお悩みをお持ちの方に、セラミック矯正は適した選択肢となります。
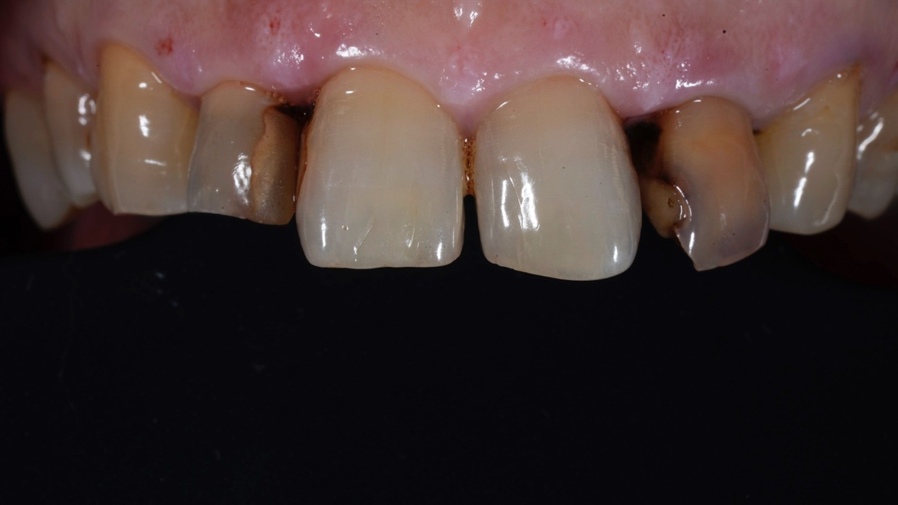
Before
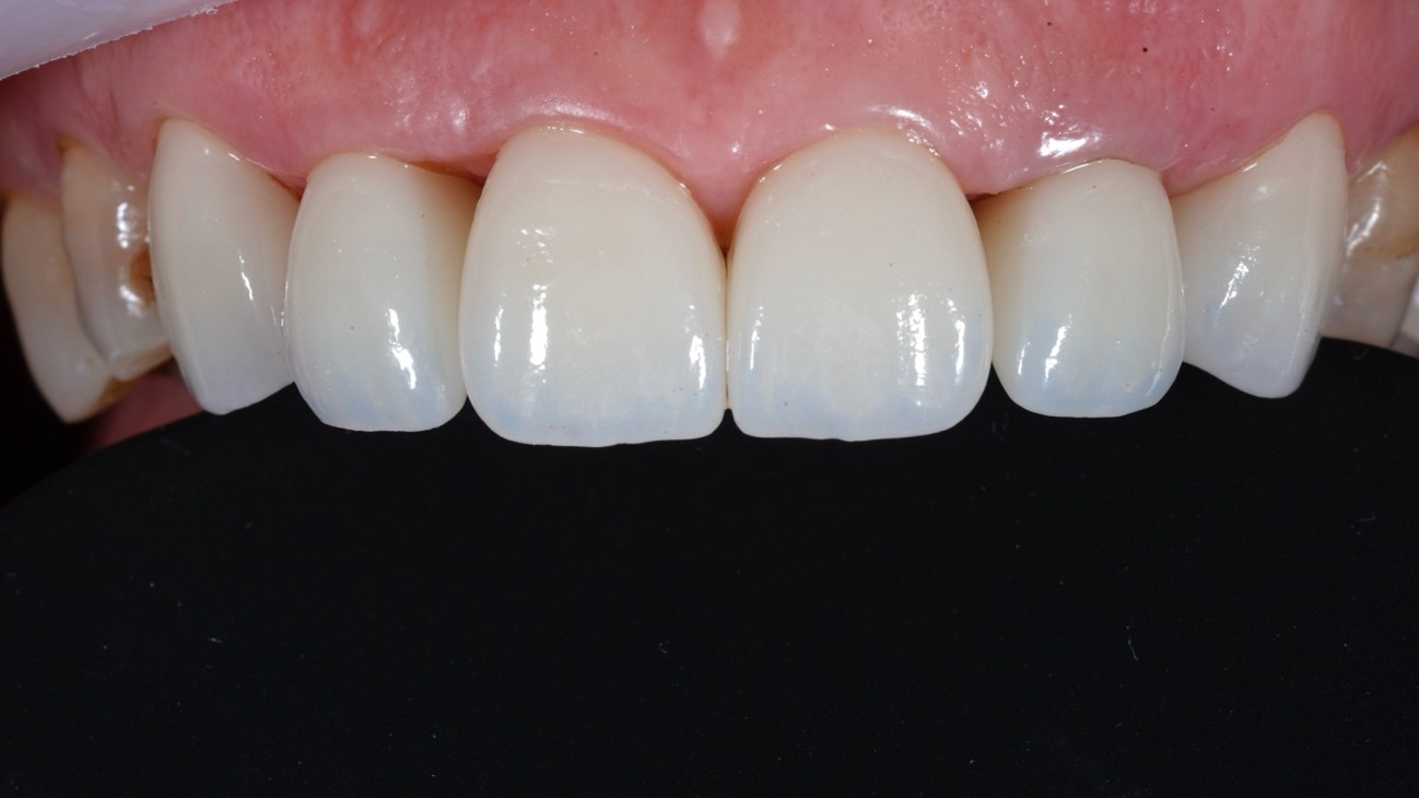
After

気にされている部位について具体的にお話を伺いメリットとリスクの説明とセラミック矯正以外の選択肢もふまえどのような治療方針で行なっていくかを相談していきます。

治療の精度を高めるため噛み合わせや歯の内部の検査を行います。

理想的な形や色に仕上げるためのご自身の歯の形の修正と色の確認を行います。

製作したセラミックが長持ちするようにしっかりと接着させていきます。

装着したセラミックが長持ちするように3〜6ヶ月に一度歯周病予防も含めメンテナンスを行うことをおすすめします。
1本あたり 税込77,000円〜132,000円
※本数・形状・色・難易度によって異なります。
セラミック矯正では、主に歯の表面を中心に削って被せ物を装着します。削る量は歯の状態や位置によって異なり、必要に応じて神経の処置を行うこともあります。
セラミック矯正の治療期間は、通常2〜3回の通院で、1〜2ヶ月程度が目安です。治療本数や歯の状態によって期間は前後する場合があります。
セラミック矯正の処置中は麻酔を使用するため、強い痛みを感じることはほとんどありません。処置後に軽い違和感や歯がしみることがありますが、多くの場合は数日で落ち着きます。
セラミック矯正では、治療前に仮歯やデジタルシミュレーションを使って、完成後の形やバランスを確認できます。必要に応じてPC上で「こんな形になります」というイメージをお見せし、患者さまが納得してから治療を進めます。

適切な治療プランと
痛みに配慮した丁寧な治療で
患者様をサポートします。
まずはご相談ください
お電話にてご相談
ご予約希望の方はこちら