ノンクラスプデンチャー|登戸・向ヶ丘遊園の歯科・歯医者|ポライト歯科クロス向ヶ丘|土日診療

〒214-0014神奈川県川崎市多摩区登戸2779−1 クロス向ヶ丘 2階
044-712-0171
ヘッダー画像

ノンクラスプデンチャー

ノンクラスプデンチャー|登戸・向ヶ丘遊園の歯科・歯医者|ポライト歯科クロス向ヶ丘|土日診療

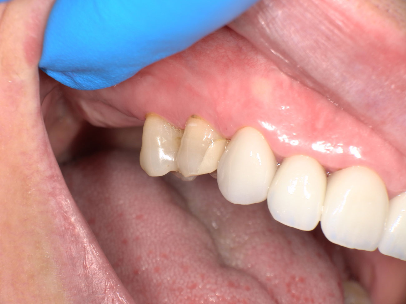
【症例No.1】右上歯欠損/60代女性

Before

After

サムネイルをクリックタップすると
大きく表示されます。

主訴
バネの目立つ入れ歯が気になる
治療内容
ノンクラスプデンチャー装着
治療期間・回数
2週間
費用
99,000円(税込)
リスク・副作用
つけはずしを行う装置のため毎日の手入れが必要となります。歯茎の形状が変化するとお痛みが出ることがあります。
通常の入れ歯だと見えてしまう金具(クラスプ)が見えないようすることができました。また、通常の入れ歯に比べて小ぶりな形状で安定性も増しています。

ノンクラスプデンチャーについて

ノンクラスプデンチャーのメリット

  • 金属のバネが見えないため自然な見た目
  • 柔軟な素材でフィット感が良い
  • 金属アレルギーの方にも対応可能

注意点

素材の性質上、経年変化や変形が起こることがあります。定期的な調整が必要です。